
Quais os impactos das doenças periodontais em nossa qualidade de vida?
O que é doença periodontal? A doença periodontal se caracteriza por uma simples inflamação da gengiva ao redor do dente, mas pode trazer consequências sérias à
vida do indivíduo, provocando desde perda dentária as doenças mais graves. Como muitas vezes essa doença é silenciosa, é preciso ficar atento aos seus pequenos
sinais para que o diagnóstico e o tratamento sejam feitos na hora certa. Quer descobrir mais sobre o que é doença periodontal? É só ler o restante do nosso conteúdo.
O que é doença periodontal? Quais os impactos das doenças periodontais
A doença periodontal é uma inflamação crônica de origem bacteriana do periodonto, o tecido de suporte e sustentação do dente, composto pela gengiva, pelo cemento, pelo ligamento periodontal e pelo osso.

Na sua forma mais simples, a doença periodontal se limita à gengiva sendo chamada gengivite. Em casos mais graves, ocorre um acometimento mais extenso e a inflamação provoca a morte dos tecidos, sendo denominada, então, de boca de trincheira ou gengivite ulcerativa necrosante aguda.
Visite nosso site e conheça nossas especialidades odontológicas.
O que causa a doença periodontal?
A formação de placa bacteriana e o acúmulo de tártaro geram um processo inflamatório local que destrói as estruturas ao redor do dente e vai criando bolsas periodontais, fazendo com que os ligamentos na região sejam destruídos e o dente se torne mais móvel.

Quem desenvolve essa doença? Quais os impactos das doenças periodontais
Qualquer pessoa pode apresentar periodontite, mas ela está associada a alguns fatores de risco que aumentam a quantidade de bactérias na boca ou prejudicam a
capacidade do organismo de lutar contra esses micro-organismos, como:
- má higiene bucal;
- imunossupressão;
- diabetes mellitus;
- tabagismo;
- artrite reumatoide;
- estresse;
- gravidez.
Quais são os sintomas da doença periodontal?
Em muitos casos, a doença periodontal não gera sintomas claros e é indolor, mas também é possível ocorrer:
- sensibilidade dental;
- dor ao mastigar;
- sangramento gengival;
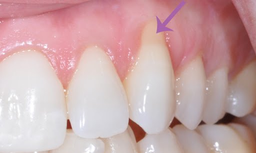
- retração;
- mau hálito.
Como é feito o diagnóstico dessa doença?
Geralmente, a doença periodontal é diagnosticada por meio do exame clínico, no qual o dentista consegue observar a olho nu que o tecido gengival está inflamado.
Outra possibilidade é o diagnóstico por meio de sondagem periodontal de uma gengiva aparentemente saudável. A gengiva ao redor do dente é sondada em seis diferentes pontos, de forma circunferencial, para que as bolsas periodontais sejam detectadas.
Quais as consequências da doença periodontal?
À medida que a inflamação se torna mais grave e os dentes ficam mais frouxos, o indivíduo passa a ter dificuldades na mastigação e na deglutição de alimentos fibrosos, o que piora quando ocorre a perda dentária.

Como tratar a doença periodontal?
O aspecto mais importante do tratamento da doença periodontal é a limpeza dentária com remoção da placa bacteriana e do tártaro.
Como nessa doença o sulco gengival forma bolsões mais profundos do que o normal, é necessário realizar as técnicas de raspagem, removendo a placa e o tártaro abaixo
da linha gengival, e de alisamento, na qual as raízes dos dentes são alisadas para que o tecido gengival se cicatrize e as bolsas periodontais se tornem menores.
Assim, a única forma de curar a doença periodontal é fazendo um acompanhamento regular com o dentista e mantendo uma boa higiene bucal em casa.
O tratamento para acabar com a periodontite envolve raspagem da raiz do dente, em consultório e sob anestesia, para remoção da placa de tártaro e bactérias que estão destruindo a estrutura óssea que suporta o dente.
O uso de antibiótico pode fazer parte do tratamento em alguns casos. A manutenção no dentista periodicamente diminui a evolução dessa inflamação e ajuda a controlar a doença, diminuindo a perda óssea e evitando a queda de dentes.
Além disso, não fumar, escovar os dentes diariamente e passar o fio dental são formas de controlar e curar a periodontite. Agora que você leu mais sobre o que é doença periodontal, quer certificar de que está tudo bem com a sua saúde bucal?

Entre em contato com a nossa clínica e agende uma consulta de avaliação.




Adicione um comentário
Você deve estar logado para postar um comentário